返回 醫美整形

割雙眼皮 / 手術後~拆線會痛嗎??

我今天剛去縫完~~還算ok~~~
醫生說星期一要拆線~~
有人說拆線比手術時還痛~
是真ㄉ嗎??
還要躺上手術台一次嗎??
我又要開始緊張ㄌ~~
有做完手術ㄉ水水可以分享嗎??
  • 不會痛啦  但是要過久一點才會自然
  • 自然
    自然

    割雙眼皮會有疤,我怕有疤,且疤痕一輩子也不可能消失,所以我後來就去做無痕的終身保固訂書針雙眼皮手術,效果自然又持久,且又無疤痕,又不用開眼頭就有大外雙了!也不用拆線呢!

  • 當初應該選擇不需要拆線的手術方式下去做處理,這樣就不用擔心要在經歷拆線的恐怖疼痛感,我看滿多朋友都選擇釘書針雙眼皮,其實只要找對醫師,有的牢固性真的還蠻強的耶!到現在已經有10一年多了,都沒有鬆脫的問題,雙眼皮線條一週自然好看也不留痕跡。

  • 不清楚,不過我看同事和朋友選擇的手術方式都不需要拆線耶!而且有一位手術完10幾年了,雙眼皮線條依舊自然好看,穩定性也很不錯,到現在都沒有鬆脫的跡象喔!日後想要回去調整寬度,也都在終身保固服務範圍內,不需要再付費喔。

  • 我覺得拆線的感覺很像在拔毛!我是去b世紀做割雙眼皮+提眼瞼肌,感覺是還好可能我本身比較耐痛,拆完線再塗一兩天藥膏就好,然後醫生說要多做眼部運動,可以幫助癒後

  • 拆線會不舒服喔

    所以找技術好的醫師才會比較會處理

    有的拆不好 還會有線頭留在裡面

    周邊朋友就有這種不好的經驗


    我自己也有用過雙眼皮

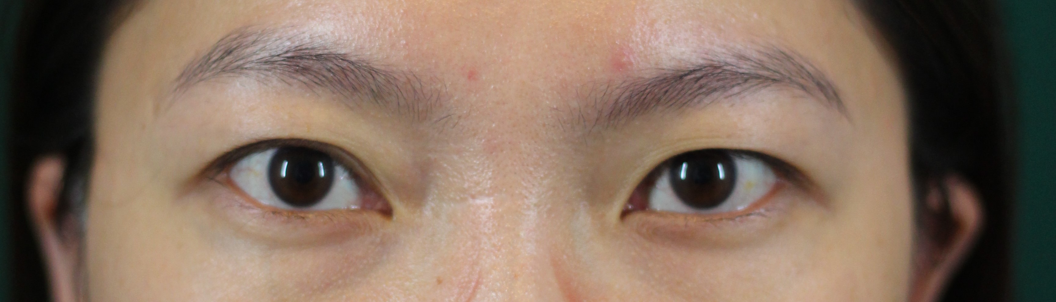
    我在南部達文西那邊找院長做的

    看看我術前術後 是不是還滿自然的阿




    我追求的比較自然

    很多人都看不出來我眼睛有做過

    都以為是自然的雙眼皮 哈

回應...
 返回 醫美整形